ICD-10 Code: Invasive Ductal Carcinoma Right Breast

R.Womenininnovation 117 views
ICD-10 Code: Invasive Ductal Carcinoma Right Breast

ICD-10 Code: Invasive Ductal Carcinoma Right Breast

Hey everyone! Today, we’re diving deep into a super important topic that many of us might encounter or need to understand: the ICD-10 code for invasive ductal carcinoma of the right breast . This might sound a bit technical, but trust me, guys, understanding these codes is crucial for accurate medical documentation, billing, and ultimately, ensuring patients receive the right care and insurance coverage. We’ll break down what this specific code means, why it’s important, and explore the nuances surrounding invasive ductal carcinoma.

Understanding Invasive Ductal Carcinoma (IDC)

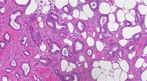
So, what exactly is invasive ductal carcinoma, or IDC? Let’s get down to brass tacks. Invasive ductal carcinoma of the right breast is the most common type of breast cancer. It originates in the milk ducts, which are the tiny tubes that carry milk to the nipple. When the cancer cells break through the wall of the duct and invade the surrounding breast tissue, it’s then classified as invasive . Think of it like a tiny seed sprouting and growing beyond its designated pot. This invasion means the cancer has the potential to spread, or metastasize, to other parts of the body, such as the lymph nodes or even more distant organs. It’s a serious diagnosis, no doubt, but understanding its nature is the first step in combating it. The key word here is invasive , as opposed to in situ , where the cancer cells are contained within the duct and haven’t spread. The ductal part tells us where it started, and the carcinoma simply means it’s a type of cancer that begins in epithelial cells, which line surfaces like the inside of ducts. When we talk about the right breast , it’s a specific localization that helps medical professionals pinpoint the exact location of the malignancy for treatment planning and record-keeping. This specificity is vital. In the realm of medical coding, precision is king, and that’s where the ICD-10 system comes in. It’s a standardized way for healthcare providers to classify and code all diagnoses, symptoms, and procedures. Each code tells a story, and for invasive ductal carcinoma of the right breast, that story is one of a specific, prevalent form of cancer requiring targeted medical attention. We’ll explore the specific ICD-10 codes associated with this diagnosis later, but for now, it’s good to have a solid grasp of what we’re dealing with when we hear this term. The implications of this diagnosis extend far beyond the patient, impacting healthcare systems, research efforts, and public health initiatives. Therefore, accurate coding is not just an administrative task; it’s a fundamental component of effective healthcare delivery.

The Importance of ICD-10 Codes

Now, why all the fuss about ICD-10 codes ? Think of them as the universal language of medicine. ICD-10 codes for invasive ductal carcinoma of the right breast are not just random strings of letters and numbers; they are highly specific identifiers that tell a complete story about a patient’s condition. These codes are absolutely essential for a multitude of reasons, and understanding their significance is key to appreciating the complexity of healthcare administration. Firstly, and perhaps most obviously, they are critical for billing and insurance purposes . When a healthcare provider submits a claim to an insurance company, the ICD-10 code provides the justification for the services rendered. A precise code ensures that the provider is reimbursed correctly for the diagnosis and treatment provided. Without accurate codes, claims can be denied, leading to financial burdens for both the patient and the provider. Imagine trying to explain a complex diagnosis like invasive ductal carcinoma without a standardized code – it would be chaotic! Secondly, these codes are fundamental for statistical tracking and public health research . Governments and health organizations use aggregated ICD-10 data to monitor disease prevalence, identify health trends, and allocate resources effectively. For instance, tracking the incidence of invasive ductal carcinoma in specific demographics or geographical areas can inform public health campaigns, screening programs, and research funding priorities. This data helps us understand where to focus our efforts to prevent and treat diseases. Thirdly, accurate coding ensures continuity of care . When a patient sees different specialists or moves to a new healthcare system, their medical records, including diagnoses coded with ICD-10, provide a concise and standardized summary of their health history. This allows new providers to quickly understand the patient’s past conditions and tailor their treatment plans accordingly. For a condition like invasive ductal carcinoma, where treatment can be complex and ongoing, this continuity is absolutely vital. It’s like having a detailed map of a patient’s health journey. Finally, these codes play a role in quality assessment and improvement . By analyzing coded data, healthcare facilities can identify areas where patient outcomes are not meeting expected standards and implement strategies for improvement. This focus on quality ensures that patients are receiving the best possible care. So, while they might seem like mere bureaucratic details, ICD-10 codes are actually the backbone of modern healthcare information management, ensuring accuracy, efficiency, and the best possible outcomes for patients. They are the silent heroes of medical records, guys!

Alright, let’s get to the nitty-gritty: the actual ICD-10 code for invasive ductal carcinoma of the right breast . This isn’t just one single code, mind you. The ICD-10 system is hierarchical and very detailed. For invasive ductal carcinoma, the primary codes fall under the category of malignant neoplasms of the breast. Specifically, we’re looking at codes starting with C50 . Now, to pinpoint invasive ductal carcinoma of the right breast , we need to go deeper into the subcategories. The most common code you’ll encounter for this specific diagnosis is C50.911 . Let’s break this down: ‘C’ indicates a malignant neoplasm, ‘50’ specifies the breast, ‘9’ signifies the ‘unspecified’ site within the breast (meaning it’s not specified as the nipple, areola, or a specific quadrant, but rather general breast tissue), ‘1’ denotes that it is the ‘right’ breast, and ‘1’ at the end signifies ‘malignant tumor’. So, C50.911 is the primary code for ‘Malignant neoplasm of unspecified site of right female breast’. This is the code that most accurately reflects invasive ductal carcinoma of the right breast when the exact location within the breast isn’t further specified in the documentation. However, it’s super important to note that depending on the exact location and documentation, other codes might be used. For instance, if the documentation specifies a particular quadrant, like the upper-outer quadrant, the code might be different. The ICD-10 system has codes for specific locations within the breast, such as C50.411 (Malignant neoplasm of upper-outer quadrant of right female breast). The ‘4’ in C50.411 specifies the upper-outer quadrant. Similarly, there are codes for other quadrants and the central portion of the breast. The specificity of the code is driven by the physician’s documentation. A highly detailed report from the oncologist or surgeon will lead to a more precise ICD-10 code. This precision is not just for academic purposes; it directly impacts treatment protocols, clinical trial eligibility, and even prognosis tracking. Guys, the lesson here is that documentation is absolutely paramount. The physician’s notes dictate the code that gets assigned. Therefore, healthcare providers must be meticulous in their descriptions of the diagnosis, including the laterality (left or right), the specific type of cancer (invasive ductal carcinoma), and the exact location within the breast if known. This level of detail ensures that the patient’s record is accurate and that they receive the most appropriate care and coding for their condition. It’s a complex system, but understanding these nuances is vital for anyone involved in healthcare or dealing with breast cancer diagnoses.

Associated ICD-10 Codes and Considerations

While C50.911 is often the go-to code for invasive ductal carcinoma of the right breast , it’s not the only code that might be relevant in a patient’s record. Medical coding is like building a complete picture, and sometimes, you need more than one code to tell the whole story. For instance, if the cancer has spread to the lymph nodes, additional ICD-10 codes are necessary to reflect this staging. Codes for secondary malignant neoplasms (metastasis) in nearby lymph nodes, such as those in the axilla (armpit), would be used alongside the primary breast cancer code. These often fall under the C77 category (Secondary and unspecified malignant neoplasm of lymph nodes). For example, C77.3 denotes ‘Secondary and unspecified malignant neoplasm of axillary and pectoral (transthoracic) lymph nodes’. This tells us the cancer hasn’t stayed put; it’s started to travel. Furthermore, if the patient has a history of breast cancer or specific genetic predispositions, those conditions would also be coded. Personal history of malignant neoplasm codes (like Z85.3 for personal history of malignant neoplasm of breast) might be used for follow-up care or surveillance. Similarly, codes related to genetic susceptibility to malignant neoplasms could be relevant. Beyond the direct cancer diagnosis, codes for associated conditions or complications might also be necessary. This could include codes for pain (e.g., G89 series), lymphedema (e.g., I97.2 ), or psychological distress related to the diagnosis (e.g., F43.2 for adjustment disorder). The complexity arises because a patient’s health is rarely a single, isolated issue. The goal of using multiple ICD-10 codes is to create a comprehensive and accurate representation of the patient’s health status and treatment journey. This detailed coding is crucial for tracking treatment effectiveness, monitoring disease progression, and ensuring appropriate reimbursement for all services rendered. It also aids in research by providing granular data on co-morbidities and complications. So, while C50.911 is the core code, remember that the full diagnostic picture often requires a symphony of codes working together. It’s a bit like a detective gathering all the clues to solve a case – every piece of information, coded precisely, helps paint the full picture of the patient’s health.

Challenges and Future Directions

Navigating the world of ICD-10 codes for invasive ductal carcinoma of the right breast can certainly present challenges, guys. One of the biggest hurdles is the sheer volume and complexity of the codes themselves. Keeping up with updates, addendums, and nuances requires continuous education and training for medical coders and healthcare professionals. The specificity of ICD-10, while beneficial for accuracy, also means that coders need a deep understanding of medical terminology and disease processes. Misinterpretation or a lack of detailed clinical documentation can lead to inaccurate coding, which, as we’ve discussed, has significant implications. Another challenge is the evolving nature of medical knowledge and cancer treatment. As we learn more about breast cancer and develop new therapies, the classification and coding systems need to adapt. This means that codes that were accurate yesterday might need refinement tomorrow. For instance, advancements in understanding the molecular subtypes of breast cancer might eventually lead to more specific coding categories. Furthermore, the increasing use of artificial intelligence (AI) and natural language processing (NLP) in healthcare presents both opportunities and challenges. AI tools can assist in identifying relevant information in clinical notes for more accurate coding, but they also require careful validation and oversight to ensure they are functioning correctly. The future of medical coding likely involves a hybrid approach, where technology enhances human expertise rather than replacing it entirely. We might see more automated code suggestions based on electronic health records (EHRs), but the final verification and complex case interpretation will likely remain with skilled human coders. The drive towards more standardized and interoperable health data also plays a role. Ensuring that ICD-10 codes can be seamlessly shared and understood across different healthcare systems and countries is an ongoing effort. Ultimately, the goal is to leverage these coding systems to improve patient care, advance medical research, and make healthcare systems more efficient. It’s a dynamic field, and staying informed is key to navigating it successfully. The continuous refinement of these codes reflects our growing understanding of diseases like invasive ductal carcinoma and our commitment to providing the best possible care for those affected. It’s a journey of constant learning and adaptation in the ever-evolving landscape of medicine.

Conclusion

To wrap things up, understanding the ICD-10 code for invasive ductal carcinoma of the right breast (most commonly C50.911) is more than just a technical detail; it’s a vital component of accurate medical records, efficient healthcare operations, and comprehensive patient care. We’ve explored what invasive ductal carcinoma is, why ICD-10 codes are indispensable, and how specific codes are assigned, along with the associated codes that paint a fuller clinical picture. While the system can be complex, its precision allows for better tracking of diseases, improved research, and ultimately, better health outcomes for countless individuals. Remember, guys, the accuracy of these codes hinges on detailed clinical documentation. So, whether you’re a healthcare professional, a patient, or just someone interested in understanding the intricacies of the medical world, grasping the significance of these codes is a valuable piece of knowledge. Keep learning, stay informed, and let’s continue to advocate for clear and accurate medical communication!