Adenocarcinoma: What You Need To Know

R.Womenininnovation 138 views
Adenocarcinoma: What You Need To Know

Understanding Adenocarcinoma: A Comprehensive Guide

Hey everyone! Today, we’re diving deep into a topic that might sound a bit scary, but understanding it is super important: adenocarcinoma . You’ve probably heard the term thrown around, maybe in a medical context or even in the news. But what exactly is it? At its core, adenocarcinoma is a type of cancer that starts in the glandular cells of organs. Glandular cells are the amazing little workers in our bodies that produce and secrete substances like mucus, digestive juices, or hormones. Think of them lining organs like the lungs, prostate, breast, colon, and pancreas. When these cells go rogue and start growing uncontrollably, that’s when we’re looking at adenocarcinoma. It’s one of the most common types of cancer, guys, and knowing the basics can make a huge difference in awareness and early detection. We’re going to break down what causes it, how it’s diagnosed, the different types, and what treatment options are out there. So, grab a comfy seat, and let’s get informed!

What Exactly is Adenocarcinoma?

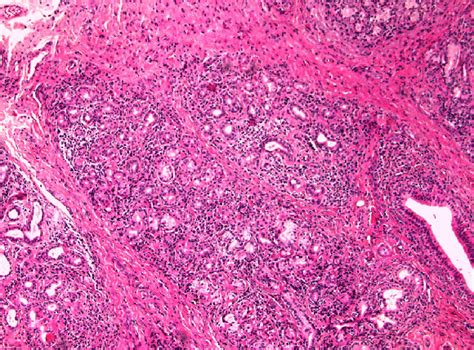
So, let’s really get into the nitty-gritty of adenocarcinoma . As we touched on, it’s a cancer that originates in your glandular cells. These cells are pretty crucial for a lot of bodily functions. They’re found in epithelial tissues, which are basically the tissues that cover surfaces inside and outside your body. In organs like the lungs, these glandular cells help produce mucus that keeps your airways moist and clean. In the digestive system, they help create enzymes that break down food. In the breast, they’re involved in producing milk. The key thing about adenocarcinoma is that it arises from these specific glandular epithelial cells, distinguishing it from other types of cancer that might start in different cell types, like squamous cells or basal cells. When these glandular cells become cancerous, they often retain some of their glandular characteristics, meaning they might continue to produce abnormal amounts of mucus or other substances, which can sometimes be a clue for doctors during diagnosis. This uncontrolled growth forms a tumor, and depending on where it starts, it can spread to other parts of the body, a process known as metastasis. The fact that it can start in so many different organs is why adenocarcinoma is such a broad category of cancer, and understanding the specific organ of origin is vital for treatment. It’s not just one disease; it’s many, all stemming from the same type of cell malfunction. This intricate cellular origin is what makes understanding adenocarcinoma so important for both patients and healthcare professionals alike. It’s all about those tiny, hardworking glandular cells that, under certain circumstances, can begin a journey towards malignancy.

Common Types and Locations of Adenocarcinoma

Alright, let’s talk about where you’re most likely to encounter adenocarcinoma . Because glandular cells are spread throughout our bodies, this type of cancer can pop up in a surprising number of places. One of the most well-known is lung adenocarcinoma , which is actually the most common type of non-small cell lung cancer, particularly in non-smokers or former smokers. These tumors typically start in the outer parts of the lungs. Then there’s colon adenocarcinoma , which is the most frequent type of colorectal cancer. These cancers start in the cells lining the colon or rectum. Prostate adenocarcinoma is the most common form of prostate cancer, originating in the glands within the prostate. In women, breast adenocarcinoma is also the most prevalent type, arising from the cells of the milk ducts or lobules. Pancreatic adenocarcinoma is a particularly aggressive form, developing in the cells of the pancreas that produce digestive enzymes. You can also find adenocarcinoma in the stomach , esophagus , liver , and even in ovarian and thyroid glands. The location is super important, guys, because it dictates the specific symptoms you might experience and the treatment approaches that will be most effective. For instance, lung adenocarcinoma will present with respiratory symptoms, while colon adenocarcinoma might lead to changes in bowel habits. Recognizing these different types and their typical locations is a key step in understanding the broader landscape of this cancer.

Causes and Risk Factors for Adenocarcinoma

Now, let’s get real about why adenocarcinoma happens and who might be at a higher risk. Honestly, for many cancers, the exact cause can be a bit of a mystery, often involving a combination of genetic mutations and environmental factors. However, we do know some common culprits and risk factors that increase your chances. For lung adenocarcinoma, while smoking is a major risk factor for lung cancer in general, this specific type is more common in people who have never smoked or have smoked lightly, suggesting other environmental exposures or genetic predispositions might play a larger role. This could include exposure to secondhand smoke, radon gas, or asbestos. For colon adenocarcinoma, risk factors include a family history of colorectal cancer or polyps, inflammatory bowel diseases like Crohn’s disease or ulcerative colitis, a diet low in fiber and high in red or processed meats, obesity, lack of physical activity, and older age. Pancreatic adenocarcinoma is strongly linked to smoking, diabetes, chronic pancreatitis, obesity, and a family history of the disease. In breast cancer, family history, genetic mutations (like BRCA1 and BRCA2), early menstruation, late menopause, obesity, and certain hormone therapies are significant risk factors. Prostate adenocarcinoma risk is higher in older men, those with a family history, and men of African descent. While some risk factors, like genetics or age, are out of our control, many others, like diet, exercise, smoking cessation, and limiting alcohol intake, are lifestyle choices we can make. It’s all about stacking the odds in your favor, right?

Symptoms and Diagnosis of Adenocarcinoma

Spotting adenocarcinoma early is key, and knowing the potential symptoms is your first line of defense. The tricky part is that symptoms often vary widely depending on the location of the cancer. For example, lung adenocarcinoma might cause a persistent cough, shortness of breath, chest pain, or coughing up blood. Colon adenocarcinoma can manifest as a change in bowel habits (diarrhea, constipation), blood in the stool, abdominal pain or cramping, unexplained weight loss, or fatigue. If it’s in the breast, you might notice a new lump, skin changes, or nipple discharge. Pancreatic adenocarcinoma can present with jaundice (yellowing of the skin and eyes), abdominal or back pain, unexplained weight loss, loss of appetite, and changes in stool. Stomach adenocarcinoma might cause indigestion, heartburn, nausea, vomiting, or a feeling of fullness. The diagnosis process usually starts with a thorough medical history and physical examination. If a doctor suspects cancer, they’ll likely order imaging tests like CT scans, MRIs, or PET scans to visualize the tumor and see if it has spread. Blood tests, including tumor markers, can sometimes provide clues. The definitive diagnosis, however, almost always requires a biopsy. This involves taking a small sample of the suspicious tissue, which is then examined under a microscope by a pathologist. They can confirm if it’s adenocarcinoma, determine its grade (how aggressive the cells look), and identify the specific type. Sometimes, endoscopic procedures (like colonoscopy or bronchoscopy) are used to access and biopsy tissues. Early detection through regular screenings and being aware of your body are absolutely critical, guys.

Treatment Options for Adenocarcinoma

Okay, so you’ve been diagnosed with adenocarcinoma . The next big question is, what happens now? Treatment for adenocarcinoma is highly personalized and depends on several crucial factors: the specific type of adenocarcinoma, its location, the stage of the cancer (how advanced it is), the patient’s overall health, and often, genetic mutations within the tumor cells. The main treatment modalities generally include surgery, chemotherapy, radiation therapy, targeted therapy, and immunotherapy. Surgery is often the first choice, especially if the cancer is caught early and hasn’t spread. The goal is to remove the tumor completely. Chemotherapy uses drugs to kill cancer cells throughout the body and is often used after surgery to eliminate any remaining cancer cells or before surgery to shrink the tumor. Radiation therapy uses high-energy rays to kill cancer cells, usually targeting the specific area where the tumor is located. Targeted therapy is a more modern approach that focuses on specific genetic mutations or proteins that help cancer cells grow and spread. These drugs are designed to attack cancer cells specifically, often with fewer side effects than traditional chemotherapy. Immunotherapy is another exciting advancement, which essentially ‘wakes up’ your own immune system to fight the cancer. The choice and sequence of these treatments are tailored to each individual case. For instance, lung adenocarcinoma might be treated with targeted therapy or immunotherapy if specific mutations are found, whereas colon adenocarcinoma might rely more heavily on surgery and chemotherapy. Clinical trials are also a vital part of the landscape, offering access to cutting-edge treatments. It’s a complex process, but medical teams work tirelessly to develop the best possible plan for each patient, aiming for the best outcomes.

Living with and Managing Adenocarcinoma

Receiving a diagnosis of adenocarcinoma can be overwhelming, but it’s important to remember that many people live fulfilling lives after treatment, and ongoing management is key. Life after treatment often involves regular follow-up appointments with your medical team. These check-ups are crucial for monitoring for any signs of cancer recurrence and managing any long-term side effects from treatment. Physical side effects can include fatigue, pain, lymphedema (swelling), or changes in digestion, depending on the cancer type and treatment. Emotional and psychological well-being are just as important. Dealing with a cancer diagnosis can take a toll, and it’s completely normal to experience anxiety, depression, or fear. Support groups, counseling, and talking openly with loved ones can make a massive difference. Nutrition also plays a vital role. Maintaining a healthy diet can help with recovery, boost energy levels, and support your immune system. Sometimes, working with a registered dietitian can be incredibly beneficial. Staying physically active, as much as your body allows, is also encouraged for overall health and well-being. Many survivors find purpose in advocacy or sharing their experiences to help others. It’s a journey, guys, and focusing on quality of life, maintaining a positive outlook, and leaning on your support system are paramount. Remember, you’re not alone in this.